Diş Kaplama Nedir? Hangi Durumlarda Kaplama Diş Yapılır?
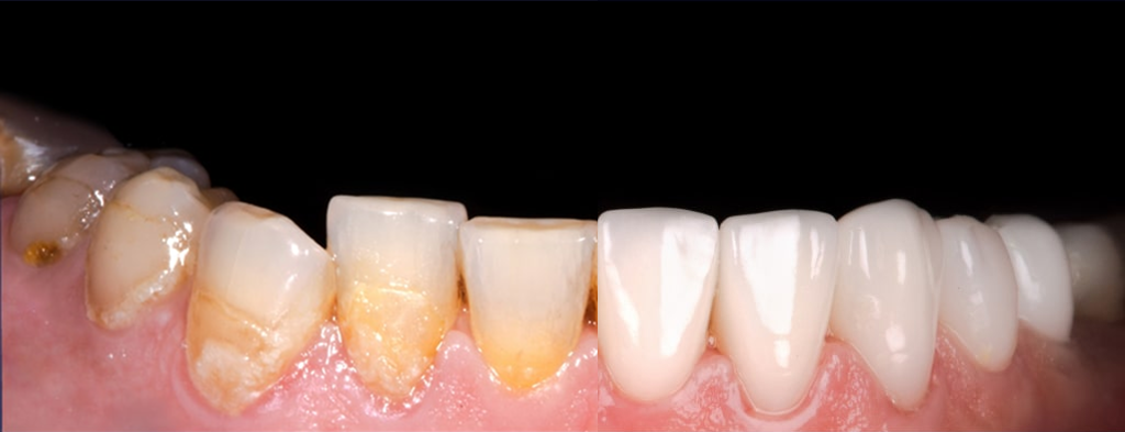
Diş kaplama nedir sorusu kısaca sağlıklı diş dokusunu çeşitli yönlerden saran protezler olarak cevaplanabilir. Dokuları destekleyici etkiye sahip diş kaplaması, özel materyallerle doğal gülüş profiline uyumlu olacak şekilde hazırlanabilir. Bu uygulamalar, çürük ya da çeşitli travma etkenlerine bağlı olarak doku kaybına uğrayan dişlerin sağlıklı formlarının geri kazandırılması amacıyla uygulanabilir. Dişin kalan dokusunu korumayı ve fonksiyonel kayıpları ortadan kaldırmayı hedefleyen bu tedavilerde doğal görünümlü diş kaplama işlemleri yapılarak estetik kayıplar da ortadan kaldırılabilir.

Bunun yanı sıra minimal doku düzenlemesine ihtiyaç duyulan bazı kaplama alternatifleri sağlıklı dişlerde estetik kaygıya neden olan durumların düzenlenmesi amacıyla da tercih edilebilir. Estetik diş kaplama özellikle gülüş tasarımı gibi uygulamalarda tercih edildiğinde kişinin görünümünü önemli oranda değiştirebilir. Diş kaplamalarının planlaması ise protezin kişi ve ilgili dişler için uygunluğuna bağlı olarak değişebilir.
Diş Kaplama Kimler ve Hangi Dişler İçin Uygundur?
Bu tedavi, tüm daimî dişlerin sürmesini takip eden herhangi bir süreçte planlanabilir. Ancak dişlerin sürmesinin ardından kişinin gelişimi bir süre daha devam ettiğinden genellikle 18 yaşından sonra uygulanması önerilir. Bunun sebebi ise protezin gelişim sürecinden etkilenmemesi ve uyumunun uzun süre korunabilmesidir. Erişkinlik döneminde ise sıkıntılı bir hamilelik süreci ya da kontrol altına alınamamış sistemik etkiye sahip hastalıklar bir süre tedavilerin uygulanması için engel oluşturabilir. Bu durumlarda hastanın ilgili durumunu takip eden hekim ile ortak karar verilerek tedavi süreci planlanabilir.
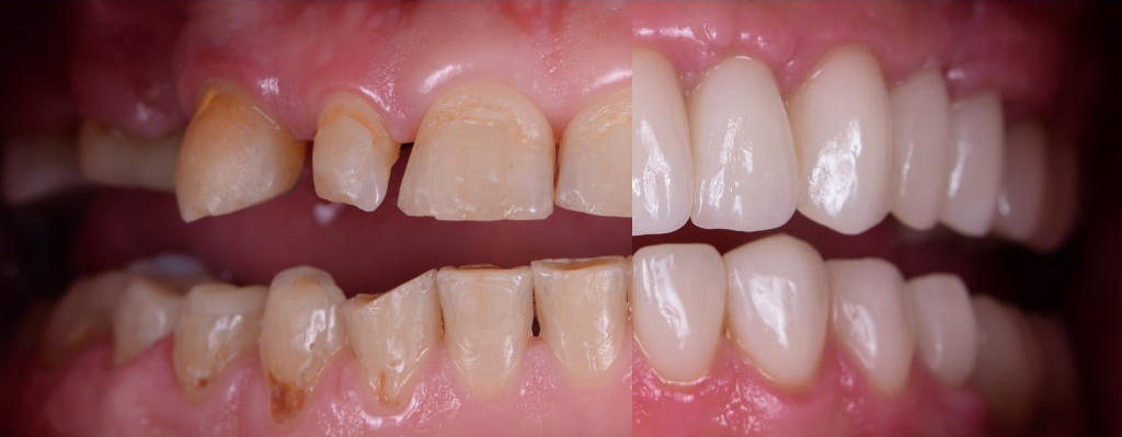
Planlama yapılacak bölgedeki dişlerin durumu ve kalan diş dokusu miktarı kaplama için önemli bir kriterdir. Günümüzde uygulanan pek çok tedavi yöntemi sayesinde kırık ya da çürük dişe kaplama yapılır mı sorusuna çoğunlukla evet cevabı verilebilir. Çürük ya da desteksiz dokular ortadan kaldırıldığında kalan diş dokusu miktarına bağlı olarak çeşitli dayanıklılık özelliklerine sahip diş kaplamaları arasından dişler için en uygun olanı seçilir.
İhtiyaç duyulan sağlıklı diş dokusunun sağlanamayacağı durumlarda ise ilgili dişe kaplama yapılarak tedavinin sağlanması olanaksızdır. Estetik uygulamalarda ise fonksiyonların ve diş sağlığının sürdürülebilirliğine dikkat edilerek dişin renk, şekil, boyut ya da konum özellikleri belirli oranlarda düzenlenebilir. Örneğin sıklıkla kesici dişler arasında belirli düzeydeki boşluklar ön iki diş kaplama uygulamalarıyla kapatılabilir. Lamine gibi ön diş yapıştırma uygulamalarıyla dişlerde genel renk değişiklikleri sağlanabilir.
Tek Diş Kaplama
Çeşitli nedenlerle bir dişte gözlenen renklenme ise uygun örtücülüğe sahip materyalden hazırlanan protezin tek diş kaplama işlemiyle dişe adapte edilmesinin ardından kamufle edilebilir.

Köprü Diş
Dişlerin birden çok özelliğinin estetik olarak değiştirilmesine ihtiyaç duyulan durumlarda ise ön 6 diş zirkonyum kaplama ya da porselen kaplama uygulamaları etkili bir sonuç oluşturabilir.

Diş Kaplama Çeşitleri Nelerdir?
Yaprak Lamine Diş
Tek materyalden yapılan ya da alt yapıyla desteklenerek hazırlanan birçok farklı protez çeşidi mevcuttur. Bu çeşitler arasından kompozit lamine ve porselen lamine dişlerin ön yüzeylerinde minimal değişiklik sağlanması için planlanan protezlerdir.

Porselen Diş
Porselen diş protezleri aynı zamanda tüm dişi saracak şekilde de hazırlanabilir. Çiğneme kuvvetlerine maruz kalan bölgelerde basınçla sertleştirilmiş formu olan tam seramik empress diş kaplamaları tercih edilebilir. Daha yüksek dayanıma ihtiyaç duyulan durumlarda ise metal altyapılı porselen uygulaması yapılabilir. Ayrıca yine yüksek dayanıklılık sağlayabilen zirkonyum altyapılı porselen de bu bölgeler için tercih edilebilir.

Zirkonyum Diş
Dişler arası mesafenin kısıtlı olduğu ya da kişinin parafonksiyonel (normal dışı) alışkanlıklara sahip olduğu özel durumlarda ise zirkonyum diş ya da tam metal kaplama uygulamalarında ihtiyaç duyulabilir. Zirkonyum veneers uygulamaları bu durumlarda estetik avantajlara sahip olmasıyla sıklıkla tercih edilir. Özellikle implant üstü kaplama diş tedavilerinde önemli bir yere sahiptir.
İmplant Üstü Kaplama Diş Çeşitleri Nelerdir?
İmplant üstü kaplama uygulamaları günümüzde genellikle pek çok avantaja sahip zirkonyum protezlerle yapılır. Bu tedavi, kişinin dişlerinin bir kısmını ya da tümünü kaybettiği durumlarda implant üstü tek diş kaplama, köprü diş ya da All on 4 sistemlerinin hazırlanması ile uygulanabilir. Diş kayıplarının varlığı durumunda uygulanan protezler hakkında daha detaylı bilgi protez diş sayfamızda yer almaktadır.
Zirkonyum Nedir? Zirkonyum Kaplama Nedir?
Doğada bulunan ve 1800’lü yıllarda keşfedilen zirkonyum, beyaza çalan gri renkteki katı kimyasal bir elementtir. Zirkonyum diş kaplama ise, bu elementten hazırlanan doğal dişlerle uyumlu beyaz renge sahip protezlerdir. Yüksek dayanıklılığa sahip olması sayesinde sıklıkla tercih edilen tedavi uygulamaları arasında yer alır. Zirkonyum diş özellikleri dayanıklılık açısından geleneksel materyallerle estetik özelliklerde ise porselen materyallerle benzerlik gösterir. Ancak kuvvetler sonucu protezde oluşabilecek çatlakları onarabilme yeteneği bu materyale özgü bir özelliktir.

Zirkonyum Kaplama Nasıl Yapılır?
Zirkonyum diş kaplama nasıl yapılır sorusunun cevabı ise uygulama çeşidine göre birtakım değişiklikler gösterebilir. Ancak temel hatları ile uygulama yapılacak dişler üzerinde ihtiyaç duyulan düzenlemeler yapılır. Yapılacak uygulamaya uygun olacak şekilde her iki çeneden ölçü alınır. Protezlerin laboratuvarda hazırlanma sürecinde estetik görünümün ve fonksiyonel aktivitelerin sürdürülebilmesi için geçici kaplama uygulaması yapılır. Hazırlanan kalıcı protezler ağız içerisine tümüyle uyum sağladığında siman adı verilen özel yapıştırıcılarla yapıştırılır. Zirkonyum diş yaptıranlar hem estetik hem dayanıklılık açısından diğer kaplamalara kıyasla daha memnun olmaktadırlar.

Porselen Diş Nedir? Porselen Kaplama Nasıl Yapılır?
Hem renk hem de ışık geçirgenliği özellikleri ile doğal diş dokusuna oldukça yakın olan porselen diş, seramik materyalden hazırlanan protezlerdir. Porselen diş kaplamalarının altyapı kullanılmayan formları, çok yüksek dayanıklılık özelliklerine ihtiyaç duyulmayan dişlerde estetik özelliklerin doğal dişlere en yakın olacak şekilde sağlanması amacıyla uygulanır.

Porselen diş nasıl yapılır sorusunun cevabı ise zirkonyum diş protezleri ile oldukça benzerdir. Yalnızca altyapı kullanılmayan porselen diş çeşitleri protezlerin yapıştırılması aşamasında farklılık gösterir. Bu aşamada kalıcı kaplamaların yapıştırılması diş ve protez arasında kimyasal bağ kuran özel yapıştırıcılarla tamamlanır.

Tedavi Sonrası Dikkat Edilmesi Gerekenler
Tedavi sonrası dikkat edilecek hususlarda zirkonyum diş yaptıranlar, porselen diş yaptıranlar ya da köprü diş yaptıranlar arasında bir fark yoktur. Kaplama bakımının uygun bir şekilde yapılması uzun ömürlülüğü açısından çok önemlidir. Ayrıca rutin diş hekimi kontrollerinin planlanması da protez ömrünü uzatmada etkilidir. Kaplamaların bakımı ise rutin diş fırçalama, diş ipi ve ara yüz fırçalarının kullanımı ile sağlanabilir. Köprü diş tedavilerinde, köprü gövdesi altında kalan alanın temizlik esnasında erişilebilirliği zordur. Bu bölgenin temizliği için özel olarak hazırlanan diş ipleri kullanılması gerekebilir.
Zirkonyum & Porselen Diş Kaplama Fiyatları 2025
Zirkonyum ve porselen diş kaplama fiyatları çeşitli durumlara bağlı olarak değişkenlik gösterebilir. Bu durumlar arasında; kullanılan materyal, kaplanacak diş sayısı, ek tedavi ihtiyaçları gibi değişkenler örnek gösterilebilir. Örneğin; yüksek maliyete sahip monolitik zirkonyum fiyat açısından daha üst sıralarda yer alır. Fakat, düşük maliyetle hazırlanabilen metal altyapılı porselen diş fiyatları daha kolay ulaşılabilir düzeydedir. Tek diş kaplama fiyatları için daha düşük bir bütçe yeterli olurken diş köprüsü fiyatları köprüye dahil olan üye başına hesaplanır. Ayrıca, ön diş kaplamalarda diş sayısına bağlı olarak fiyatlar değişmektedir. İhtiyacınıza uygun olarak belirlenen kaplama diş fiyatları ve daha detaylı bilgiyi İstanbul Anadolu Yakası’ nda Maltepe ilçesinde bulunan muayenehanemize başvurarak öğrenebilirsiniz. Muayenehanemizin iletişim bilgileri için web sitemizde yer alan iletişim sayfasını ziyaret ederek bizlere ulaşabilirsiniz.
Tedavi Hakkında Diğer Merak Edilenler
Kaplama protez diş neden düşer?
Dişin bakımının yeterli oranda yapılmaması ya da çok uzun süre ağız içerisinde kalan protezlerde yapıştırıcı materyalin etkinliğini kaybetmesi durumunda bölgede bakteri birikimi olarak çürük gelişebilir. Bu durumlar kaplamanın bulunduğu alanda tutunmasını zorlaştırarak düşmesine neden olabilir.
Çıkan kaplama diş nasıl yapıştırılır?
Çıkan kaplama dişin tekrar yapıştırılabilmesi için öncelikle sağlıklı diş dokusunun bütünlüğünü tümüyle koruması gerekmektedir. Protez uyumu da ideal bir şekilde devam ediyorsa hekim tarafından öncelikle eski yapıştırıcı artıkları temizlenir. Sonrasında, yeni bir siman uygulamasıyla diş, yüzeyine tekrar yapıştırılabilir.
Protez diş ağrısı için ne yapılır?
Kaplama uygulamasını takip eden ilk günlerde minimal ağrı ve hassasiyet gelişimi normaldir. Bu durum herhangi bir uygulamaya ihtiyaç duyulmadan kendiliğinden geçecektir. Geçmişte yapılmış kaplamalarda ağrı gelişmesi ise kaplamanın yüksek olarak hazırlanmasından kaynaklanabilir. Bunun dışında, uygun hijyen koşullarının oluşturulmaması sonucu çürük gelişimi de kaplama ağrısına sebep olabilir. Bu durumlarda enfekte olan dokuların uzaklaştırılmasına, protezin ise yenilenmesine ihtiyaç duyulabilir.
Porselen kaplamanın kırılması durumunda ne yapılır?
Porselen kaplama diş kırılması durumunda kaplamanın kırılma nedeni diş hekimi tarafından titizlikle belirlenir. Ana etkenin ortadan kaldırılması için gerekli tedavi planlamaları yapılır. Sonrasında, uygun materyal kullanılarak yeni bir kaplama protezi hazırlanır.
Bu web sitesindeki bilgiler tıp literatüründen alınmıştır ve sadece bilgilendirme amaçlıdır. Kesinlikle tanı ve tedavi amacı taşımaz. Tanı ve tedaviniz için ilgili bir uzmanla görüşmeniz gerekmektedir.
