Diş Taşı Nedir? Diş Taşı Temizliği Nedir?
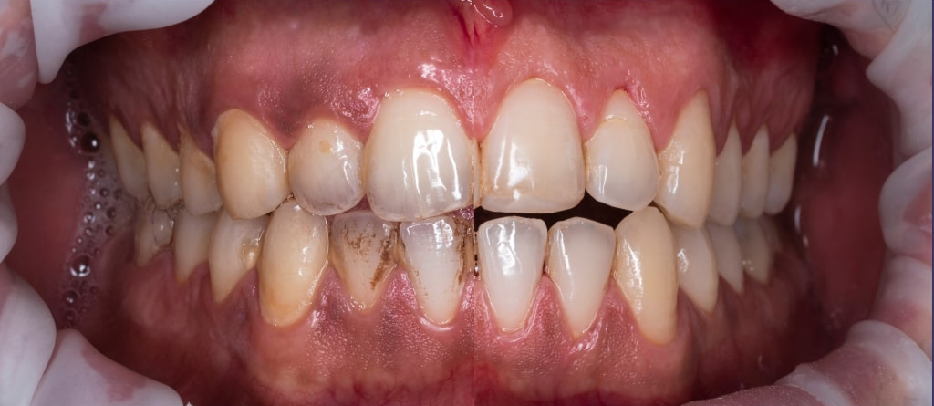
Ağız içerisindeki çeşitli minerallerin etkisiyle sertleşerek diş yüzeyine tutunan plak ve tartarın diğer bir adı da diş taşıdır. Diş taşı temizliği ise yüzeyde tutulum gösteren bu oluşumların diş hekimi tarafından klinik ortamında özel aletler yardımıyla diş yüzeyinden uzaklaştırılmasıdır.

Diş Taşı Neden Olur?
Rutin diş temizleme aktiviteleriyle ulaşılamayan alanlar tartar olarak da bilinen diş taşlarının gelişimi için uygun bir ortam oluşturur. Diş taşlarının varlığı ise bölgede bakterilerin daha kolay tutunabileceği bir alan oluşturur. Bu durum ilerleyen dönemlerde dişlerde ya da diş etlerinde enfeksiyon gelişimini kolaylaştırabilir. Bu nedenle çeşitli alanlarda diş temizliği bir süre sürdürülemez ve diş taşı gelişimi gerçekleşirse ağız sağlığının sürdürülebilmesi için profesyonel uygulamalara ihtiyaç duyulur.

Profesyonel diş tartarı temizleme uygulamaları çeşitli el aletleri ya da ultrasonik cihazlar yardımıyla yapılır. Diş taşı temizleyici işlev gören alet ve cihazlar diş yüzey özelliklerine ve ilgili tedaviye uygun olarak üretildiğinden diş dokusunda herhangi bir kayba neden olmadan güvenle kullanılabilir. Kısacası, diş temizletmek dişlerinize herhangi bir zarar vermez. Diş tartar temizliği doktor tarafından uygulandığında taşların uzaklaştırılmasının yanı sıra plak tutulumunu minimuma indirebilmek amacıyla diş yüzeylerine cila uygulaması da yapılır. Bu uygulama diş yüzeyindeki çeşitli lekelenmeleri ortadan kaldırarak dişin tedavi öncesine oranla daha beyaz gözükmesinde de etkili olabilir.

Diş Temizleme İşlemi Kimler ve Hangi Dişler için Uygundur?
Diş taşı temizletme, sağlıklı her yetişkin bireyin 6 ayda bir rutin olarak yaptırması gereken tedavilerdir. Bunun yanı sıra, diş eti enfeksiyonları gözlenen bireylerde hastalıkların tedavi edilmesi amacıyla uygulanabilir. Enfeksiyonun minimal olduğu durumlarda çoğunlukla yüzeysel diş eti temizliğine ihtiyaç duyulabilir. Diş eti hastalıklarının çocukluk döneminde gözlenmesi durumunda çocuklarda diş taşı temizliği uygulamalarının planlanması da mümkündür.

Diş Temizleme Yöntemleri
Detertraj ve Küretaj Nedir?
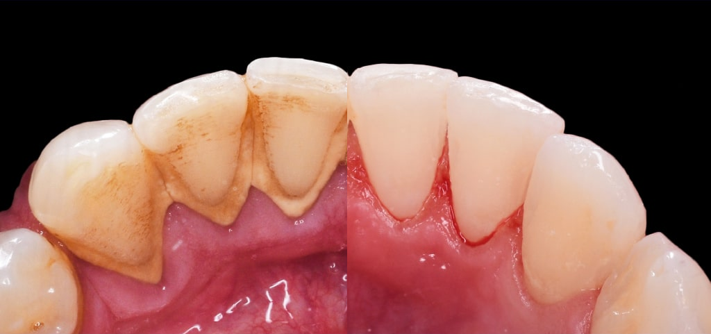
Diş taşı temizleme yöntemleri yüzeydeki diş taşlarının temizliğini kapsayan detertraj ve diş eti altındaki bölgenin temizliğini kapsayan küretaj işlemleridir. Bu işlemlerde diş plağı ve tartarı temizleme aleti olarak çeşitli el aletleri ya da cavitron olarak adlandırılan ultrasonik cihaz kullanılabilir.

Diş Taşı Temizliği Nasıl Yapılır?
Profesyonel bir diş temizleme işlemi olan detertraj uygulamasında tedavi, el aleti ya da ultrasonik cihaz ucuyla diş yüzeyindeki taşların kazınmasıyla yapılır. İlerlemiş diş eti enfeksiyonlarında ise ihtiyaç duyulması halinde derin diş eti temizleme işlemi olan küretaj, el aletleriyle diş eti altına inerek kök yüzeyindeki plakların kazınmasıyla uygulanır.

Diş kökü çevresinde plak birikimi olan her alana standart işlemlerle ulaşılamadığında diş eti iltihabı temizleme tedavilerinin efektif uygulanabilmesi için ilgili bölge cerrahi olarak açılabilir. Sonrasında efektif bir küretaj uygulaması sağlanabilir. Diş taşını temizlemek için yapılan uygulamaların ardından dişler, özel bir fırça ve pat yardımıyla cilalanarak yüzeydeki lekelenmeler, minimal pürüzler ortadan kaldırılır ve tedavi tamamlanır. Yüzeysel diş taşı temizliği süresi ortalama 15 veya 30 dakika olarak söylenebilir. Tedavi sırasında minimal hassasiyet ve rahatsızlık hissi oluşabilir. Ancak bu durumun kişiyi rahatsız ettiği durumlarda hassasiyetin fazla olduğu bölgelere lokal anestezi uygulaması yapılabilir. Böylece konforlu ve ağrısız bir tedavi sağlanabilir. Küretaj tedavisinin süresi ise uygulama yapılacak diş sayısı, cerrahi ile desteklenme ihtiyacı gibi durumlara bağlı olarak değişkenlik gösterir. Bu uygulamada hassasiyetin daha yüksek olduğu kök yüzeylerinde işlem yapıldığından konfor kaybına neden olmamak için tedaviye lokal anestezi uygulamasıyla başlanır.
Diş Temizletme Ne Kadar Sıklıkla Yapılmalıdır?
Diş plak temizleme sağlıklı bireylere ortalama 6 ayda bir olacak şekilde planlanmalıdır. Ancak diş hekimi kişinin mevcut ağız hijyeni durumu, diş etlerinde hastalık varlığı gibi durumlara bağlı olarak kişiye özgü bir tedavi aralığı da belirleyebilir.
Diş Taşı Temizliği Fiyatları 2025
Diş taşı temizliği fiyat skalası yapılan işlem türüne göre değişkenlik gösterir. Örneğin derin diş temizleme fiyatları yüzeysel uygulamalara oranla daha yüksektir. Cerrahi destekli derin diş taşı temizliği fiyat aralığı ise standart temizletme uygulamalarına oranla daha fazladır. Diş temizletme fiyatları hakkında daha detaylı bilgi için İstanbul / Maltepe’de yer alan Diş Hekimi Korhan Sayar muayenehanemize başvurabilirsiniz. Bunun için web sitemizdeki iletişim sayfasını ziyaret ederek bize ulaşabilirsiniz.
Diş Taşı Temizliği Sonrası Dikkat Edilmesi Gerekenler
Diş plak ve tartar temizliği sonrası diş etlerinin iyileşme sürecinde dişler bir miktar hassaslaşabilir. Bu nedenle diş taşı temizliği sonrası yemek tüketiminde diş hassasiyetine neden olabilecek ürünlere dikkat edilmelidir. Özellikle, çok sıcak ya da soğuk ürünlere bir gün süreyle ara verilmesi önerilir. Diş taşı temizliği sonrası diş fırçalama ve diş ipi ya da arayüz fırçası özellikle kullanılmalıdır. Ayrıca rutin ağız bakımının sürdürülmesi yeni diş taşı oluşumunu engellemede kilit role sahiptir. Plak ve tartar temizletme sonrası birkaç gün tuzlu suyla gargara yapılması hekimler tarafından önerilmektedir. Tuzlu su gargarası diş etlerinin iyileşmesini hızlandırıcı etki göstererek tedaviye yardımcı olabilir.
Diş Temizleme Hakkında Diğer Merak Edilenler
Diş taşı temizliği evde yapılabilir mi?
Evde diş taşı temizliği uygulaması yapılması mümkün değildir. Ancak rutin ağız bakımının doğru bir şekilde yapılması diş taşı gelişimini minimuma indirir. Bununla birlikte profesyonel diş temizletme uygulamalarına ihtiyaç azalabilir.
Diş temizletmek zararlı mı?
Diş taşı temizleme işlemleri diş eti sağlığının korunması için oldukça faydalı uygulamalardır. Uygun aletler ve teknikleri ile uygulandığında diş dokularında herhangi bir hasara neden olmaz.
Diş teli varken diş taşı temizliği yapılabilir mi?
Diş teli varken diş temizletme yapılabilir. Diş teli tedavisi sürecindeki diş temizletmede öncelikle, braketler dişlerin üzerindeyken braket içerisinde yerleştirilen teller çıkartılır. Sonrasında tartar ve plak temizliği uygulamaları yapılır ve teller tekrardan braketlere takılır.
Diş taşı temizliği acıtır mı?
Temizlik uygulaması esnasında ağız içerisine uyuşturucu sprey uygulanması tedavi süresince herhangi bir acı hissetmenizi engeller. Ayrıca hassasiyetin yüksek olduğu noktalara lokal anestezi uygulaması da yapılabilmektedir. Böylece kişi diş temizletme sürecinde herhangi bir ağrı hissetmez.
Diş tartarı ve plak temizleme uygulamasıyla dişler beyazlar mı?
Bu uygulamada esas olan dişlerinizin üzerinde biriken tartar, tortu ve plakların temizlenmesidir. Dişleriniz temizliği takiben doğal rengine döner. Bununla birlikte dişlerinizin renk tonunda bir değişim yaşanır fakat bu temizlik uygulamasından kaynaklanmaktadır. Ancak dişlerinizi beyazlatmak istiyorsanız tercih etmeniz gereken uygulama diş beyazlatmadır. Diş beyazlatma tedavileri hakkında ilgili web sayfamızı ziyaret edebilirsiniz.
Diş Tartarı Temizleme Sonrası Olası Komplikasyonlar
Diş taşları diş etlerinin tutunması gereken alanlardan bir miktar ayrılmasına neden olurlar. Bundan dolayı diş taşı temizliğinden sonra sızlama problemleri meydana gelebilir. Ancak bu durum iyileşmenin tamamlanmasıyla ortadan kalkar. Diş taşı temizliği sonrası diş eti şişmesi olan alanlardaki dokular da zamanla iyileşir. İyileşme sonrasında da bulunması gereken alana çekilir. Başka bir deyişle, diş temizletmek diş eti çekilmesi problemine spesifik olarak neden olmaz. Lakin diş etinin kaybedildiği alanlarda ödemli dokunun iyileşmesiyle mevcut diş eti çekilmesi gözle görülebilir olur.
Bu web sitesindeki bilgiler tıp literatüründen alınmıştır ve sadece bilgilendirme amaçlıdır. Kesinlikle tanı ve tedavi amacı taşımaz. Tanı ve tedaviniz için ilgili bir uzmanla görüşmeniz gerekmektedir.
