Periodontoloji Nedir? Diş Eti Hastalıkları Nedir?
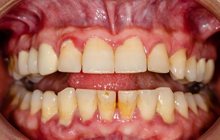
“Periodontoloji nedir?” sorusunun cevabı diş etlerinde çekilme, şişme, kanama ve iltihap gibi problemlerin tespit ve tedavilerini üstlenen ana bilim dalıdır şeklinde tanımlanabilir. Bu alanda uzmanlık eğitimi alan hekimler periodontoloji uzmanı ya da diş eti hastalıkları uzmanı olarak bilinirler. İlgili dokularda çeşitli etkenlere maruziyet sonucunda oluşan iltihabi durumlar ise diş eti hastalıkları olarak tanımlanır. Diş eti çekilmesi, diş eti şişmesi ve diş eti iltihabı en sık karşılaşılan periodontal hastalıklardır. Bu hastalıkların sebep olduğu başlıca sonuçlar arasında da diş eti kanamaları ön plana çıkmaktadır.

Diş eti rahatsızlıkları gelişimine bağlı olarak dişleri koruyan dokuda kayıp meydana gelebilir. Buna bağlı olarak çiğneme aktivitesi ve sindirim sistemi düzeninde bozulmalar gözlenebileceğinden diş eti hastalıklarının tedavisi oldukça önemlidir. Ancak periodontoloji kapsamında uygulanan tedaviler yalnızca hastalıkların iyileştirilmesiyle sınırlı değildir. Diş eti tedavileri arasında pembe estetik olarak da bilinen diş eti estetiği uygulamalarını da bulunmaktadır. Diş etlerine estetik bir görünüm kazandırmak amacıyla uygulanan pembe estetik, gülüş profilini önemi oranda değiştirebilir.
Periodontal Hastalıklar ve Aşamaları

Diş Eti İltihabı (Gingivitis) Nedir? Diş Eti Kanaması Neden Olur?
Gingivitis, bölgede yalnızca diş eti dokusunun hasar gördüğü iltihabi diş eti hastalığıdır. Diş etlerinde iltihap gelişimi sonrası etkilenen doku; diş eti kanamaları, kızarması, şişmesi gibi durumlara daha yatkın hale gelir. Özellikle diş iltihabı kanaması bölgede bir hastalık gelişiminin tespitini kolaylaştırır. Başlangıç düzeyinde diş fırçalama aktiviteleri sonucunda kanama gelişimi gözlenirken ilerleyen durumlarda çeşitli etkenlerden bağımsız durduk yere diş eti kanaması gelişimi de mümkün olabilir.

Diş eti kanaması ağız kokusu yapar mı sorusunun cevabı ise kanamanın iltihabi durumlardan kaynaklanma durumuna göre değişkenlik gösterir. Bölgede iltihap gelişimi bölgeden kötü bir kokunun yayılımıyla ağız kokusu gelişimine neden olabilir.

Diş Eti Çekilmesi (Periodontitis) Nedir? Diş Eti Çekilmesi Neden Olur?
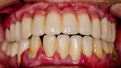
Periodontitis diye de bilinen diş eti çekilmesi rahatsızlığı, dişi çevreleyen tüm dokularda yıkım gelişmesiyle karakterize diş eti hastalığıdır. Diş eti çekilmesi sebebi iltihabi durumun hem kemikte hem de dişi çevreleyen yumuşak dokularda yoğun yıkıma neden olmasıdır.

Dişi çevreleyen kemik dokusunun kaybı bölgedeki yumuşak dokunun desteğinin de kaybedilmesine neden olarak diş eti çekilmesi için uygun bir zemin oluşturur.

Bu durum geçmiş dönemlerde geri dönüşümsüz kabul edilmekteydi. Fakat günümüzde çeşitli diş eti çekilmesi tedavisi alternatifleriyle belirli bir düzeye kadar tedavi edilebilmesi mümkündür.
Diş Eti Şişmesi & Damak Şişmesi Nedir? Diş Eti Şişmesi Neden Olur?
Ağız içerisindeki ve diş eti bölgesindeki şişlik problemleri, bölgedeki yumuşak dokularda çeşitli iritasyon etkenlerine bağlı olarak gelişen doku büyümeleridir. Diş eti şişmesi iltihabi bir durumun neden olduğu irritasyona bağlı olarak gözlemlenebilir. Bununla beraber bölgeye gelen travma kuvvetlerine bağlı olarak da diş etlerinde şişme problemi gelişebilir.

Diş Eti Hastalıklarının Belirtileri Nelerdir?
Periodontal dokularda iltihap gelişimini takip eden ile süreçte diş etinde şişlik, kızarma, diş fırçalarken diş eti kanaması ve ağız kokusu ilk ortaya çıkan belirtiler olarak sıralanabilir. Diş etinde şişlik ve iltihap gelişiminin ilerleyen dönemlerinde ise durduk yere diş eti kanaması ve diş eti çekilmesi belirtileri kendini gösterebilir. Bu belirtiler; diş boyunun uzaması ve ağız kapanış ilişkilerinin değişmesi olarak gözükebilir. Bunların dışında dişlerin sallanması ya da yer değiştirmesi de diş eti hastalıkları belirtileri olarak sıralanabilir.
Periodontoloji Tedavisi Kimler İçin Uygundur?
Diş eti hastalıklarının tedavileri ihtiyaç duyulduğunda her yaştaki bireye uygulanabilir. Çeşitli kanama problemlerinin ya da sistemik etkiye sahip kontrol edilemeyen hastalıkların mevcut olmadığı durumlarda pek çok diş eti tedavisi güvenle uygulanabilir. Bu problemlerin görüldüğü durumlarda ise hastayı takip eden hekim ile birlikte ortak karar alınarak çeşitli önlemlerle uygun bir tedavi planları oluşturulmasına ihtiyaç duyulabilir. Gelişim dönemindeki hormonal değişimlere bağlı olarak çocuklarda diş eti şişmesi gözlemlenebilir. Bu durumlarda başlangıç düzeyindeki diş eti tedavileri ile problemlerin minimuma indirilmesi mümkün olur.

Hamilelikte diş eti şişmesi problemlerine yatkınlığın artacağı ve buna bağlı olarak ağız hijyeninin sürdürülmesinin zorlaşacağı göz önünde bulundurularak diş ve diş eti tedavilerinin planlanan gebeliklerden önce detaylı bir şekilde tamamlanması önerilir. Ancak hamilelikte diş eti iltihabı gelişmesi durumunda da çeşitli tedavilerin güvenli bir şekilde uygulanabilmesi mümkündür.
Diş Eti İltihabı (Gingivitis) Tedavisi Nasıl Yapılır?
Diş etlerinde iltihap gelişiminin ilk aşaması olan gingivitis problemlerinde plak etkenlerinin kaldırılması ve ağız hijyeninin sürdürülmesi tedavi için yeterlidir. Gingivitis (diş etinde iltihap) tedavisi için klinik ortamda sertleşmiş bakteri plakları olan diş taşları temizlenir. Ardından hastaya dişlerinin mevcut durumuna uygun diş fırçalama yöntemi anlatılır. Diş eti iltihabı tedavisi sonrasında rutin ağız hijyeni uygulamaları sürdürülmelidir. Böylece gelişen diş eti kanamaları, ağız kokusu gibi problemler de kısa sürede ortadan kalkabilir.

Diş Eti Çekilmesi (Periodontitis) Tedavisi Nasıl Yapılır?
Diş eti çekilmesi tedavisi için öncelikle diş etinde gözlenen iltihabi durumun ortadan kaldırılması gerekir. Bu kapsamda dişin görünen yüzeyine tutunan plaklar diş taşı temizliği uygulamasıyla temizlenir. Diş kökü üzerinde biriken plaklar ise kök yüzeyi düzleştirme ya da flap operasyonu uygulamalarıyla uzaklaştırılır. Ardından kişiye uygun ağız bakım rutini oluşturularak doku iyileşmesinin durumu kontrol edilir. İhtiyaç duyulması durumunda diş eti çekilmesi için ilaç olarak antibiyotik kullanımı planlanarak tedavi desteklenebilir. İltihabi durumun tümüyle ortadan kalktığı tespit edildiğinde diş eti çekilmesi belirtilerinin tedavi sürecine geçiş yapılabilir. Bu kapsamda bölgedeki dokunun desteklenmesi ve güçlendirilmesi amacıyla probleme uygun olarak tedaviler planlanabilir. Ameliyat olarak da nitelendirebileceğimiz bu tedaviler, serbest diş eti grefti ya da bağ dokusu grefti’dir.

Bahsedilen diş eti çekilmesi cerrahi tedavisi alternatiflerinin uygulanması sonucunda açılan kök yüzeyi örtülebilir. Bununla beraber bölgenin temizliğinin sağlanması daha kolay hale getirilebilir. İleri derecede diş eti çekilmesi tedavisi için ise bu uygulamaların yapılması mümkün olmayabilir. Bu durumda dişin stabilizasyonu sağlanabiliyorsa dişi mümkün olan en uzun süre ağızda tutabilmek ve bölgeyi kolay temizleyebilmek için desteksiz diş eti dokusu uzaklaştırılarak kök yüzeyi açığa çıkarılır. Dişin stabil bir şekilde tutulamayacağı ve çevre dokular için tehdit oluşturacağı durumlarda ise ilgili dişin çekimine ihtiyaç duyulabilir.
Diş Eti Şişmesi Tedavisi Nasıl Yapılır?
Diş eti şişmesi, damak şişmesi gibi problemlerin gelişiminde ağız hijyeninin sürdürülebilmesi ve oluşan estetik dezavantajların ortadan kaldırılması için fazla dokunun ağızdan uzaklaştırılması gerekir. Çocuklarda diş eti şişmesi, hamilelikte diş eti şişmesi gibi hormon değişikliklerine bağlı diş eti ödemi genellikle ağız hijyeninin sürdürülmesi ile zamanla kendiliğinden ortadan kalkar. Ancak irritasyon etkenine bağlı olarak diş etlerinin kalıcı olarak büyümesine neden olan diş eti hastalıklarının tedavisi için diş etinin kesilmesi ya da düzenlemesi uygulamalarına ihtiyaç duyulur. Bu işlemlerde öncelikle fazla diş eti dokusu cerrahi olarak ağız içerisinden uzaklaştırılır. Sonrasında ise diş eti sınırları bulunması gereken konuma ulaştırılır.
Periodontoloji Tedavisi Sonrası İyileşme Süreci ve Dikkat Edilmesi Gerekenler
Tüm diş eti tedavilerinde rutin ağız bakımının ideal bir şekilde sürdürülmesi iyileşmenin sağlanabilmesi için en önemli adımdır. Ancak ağız bakımının sürdürülebilmesi için gerekli olan uygulama yöntemi ağız içerisinin mevcut durumuna bağlı olarak değişkenlik gösterebilir. Örneğin diş eti çekilmesi için diş fırçası seçiminde yumuşak fırçaların tercih edilmesi gerekmektedir. Bunun dışında, standart diş fırçalama prosedüründe çeşitli değişiklikler yapılmasına ihtiyaç duyulabilir. Diş eti çekilmesi tedavisi olanlar, ameliyat sonrası ilk günlerde ekstra yumuşak cerrahi diş fırçalarını kullanmalıdır. Bunun sebebi, ameliyat sonrası hassasiyet oluşan periodontal alanın irrite edilmemesi gerektiğindendir. Diş eti tedavileri sonrasındaki iyileşme sürecinde sert kabuklu ya da çok sıcak besinlerin tüketilmesi sınırlandırılmalıdır. Kontrollü ağız bakımının yanı sıra bu sınırlandırma, diş etinin travmatize olma ihtimalini azaltmak için önemlidir.
Diş eti sağlığının korunmasında bir diğer önemli faktör ise dengeli beslenme düzeninin oluşturulması ve sürdürülmesidir. Özellikle C vitamini, D vitamini, kalsiyum ve fosfor içeren besinlerin yeterli miktarda tüketimine özen gösterilmelidir. Zengin vitamin ve mineral içeren besinler ağız ve diş sağlığının devamlılığı için oldukça önemlidir. Bahsedilen bu vitamin ve minerallerin vücuda eksik alımı diş etlerindeki kanamalarının sebepleri arasında da gösterilebilir. Bu sebeplerden ötürü beslenme alışkanlıklarımıza ağız ve diş sağlığımız açısından da özellikle dikkat etmemiz gerekmektedir.
Diş Eti Hastalıkları Tedavi Fiyatları
İhtiyaç duyulan periodontoloji tedavisi, diş etlerinizde rahatsızlığa sebep olan hastalığın türüne göre değişkenlik göstermektedir. Bazı rahatsızlıklar tek seansta tedavi edilebilirken bazıları daha uzun soluklu tedavi süreçlerine ihtiyaç duymaktadır. Diş etlerinizdeki rahatsızlık ve hastalık hakkında kesin tanı için diş hekiminize muayene olmanız gerekmektedir. Diş eti tedavisi gerektiren hastalığınız ve tedavilerin fiyatları hakkında bilgi almak için bizimle iletişime geçebilirsiniz. Bunun için web sitemizde yer alan iletişim başlığından bizimle irtibat kurabilirsiniz. Ayrıca İstanbul’ un Maltepe ilçesinde bulunan muayenehanemizde sizleri misafir etmekten mutluluk duyacağımızı belirtmek isteriz.
Periodontoloji ile ilgili Diğer Merak Edilenler
Diş taşı diş eti kanaması yapar mı? Diş taşı diş eti çekilmesi yapar mı?
Diş taşı, pürüzlü yüzeyi ile bakterilerin ağız içerisinde kolonize olmasını ve yüzeye tutumunu kolaylaştırır. Bu sebeple ağız hijyenin sürdürülebilmesini önemli oranda engeller. Ağız içerisinde tutunan bu bakteriler dokularda hastalık gelişimini kolaylaştırıcı etki gösterirler. Kısacası diş eti kanaması ya da diş eti çekilmesi problemlerinin gelişimi için zemin hazırlanmış olur.
Diş eti kanamasına iyi gelen şeyler nelerdir?
Diş eti kanamasının ortadan kaldırılmasında birincil etken iyi bir ağız hijyeninin sağlanmasıdır. Periodontal hastalıklarının başlangıç dönemlerinde ağız hijyenine gösterilen ekstra özen kanamanın ortadan kaldırılması için yeterli olabilir. Bu hijyen uygulamaları; rutin diş fırçalama ve diş ipi ya da arayüz fırçası kullanımını içermektedir. Diş taşı gelişiminin varlığında ise diş hekiminiz tarafından diş taşı temizliği uygulaması önerilebilir. Diş doktorunuz tarafından uygulanan profesyonel diş temizliği, kanamanın tedavi edilmesi için gerekli olabilir. Bunun dışında, iyileşme sürecinde tuzlu su ile gargara yapılması önemlidir. Tuzlu su gargarası, sürece yardımcı olarak diş etlerinin daha kısa sürede iyileşmesinde etkili olabilir. Bunların yanı sıra, diş etleri çeşitli vitaminlerin eksikliğine bağlı olarak da kanamaya meyilli hale gelebilir. Özellikle C vitamini ve K vitamininin yetersiz miktarda alındığı durumlarda diş eti kanamalarında artış görülür. Günlük beslenme rutininde bu vitaminleri içeren besinlerin tüketiminin arıtılması diş eti kanamalarının azalmasında etkili olabilir.
Diş eti hastalıkları ve rahatsızlığınıza uygun tedavi uygulamaları hakkında daha detaylı bilgi için muayenehanemize başvurabilirsiniz.
Bu web sitesindeki bilgiler tıp literatüründen alınmıştır ve sadece bilgilendirme amaçlıdır. Kesinlikle tanı ve tedavi amacı taşımaz. Tanı ve tedaviniz için ilgili bir uzmanla görüşmeniz gerekmektedir.
